A Case of Traumatic Flail Chest Requiring Stabilization with Surgical Reconstruction
一例需要通过外科重建手术稳定的创伤性连枷胸病例
Evman et al.
**中文内容仅供参考,一切以英文原文为准。
连枷胸是胸部外伤后可能发生的最严重并发症,是由于至少有两根及以上连续肋骨骨折,导致胸壁的一部分与胸腔移动不同步。本文报告一例由胸部钝性创伤引起的连枷胸病例,该患者接受了肋骨固定和胸壁重建手术。
病例描述
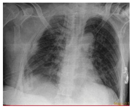
一名53岁的男性患者,因高处掉落的建筑材料砸中右肩和胸部区域而被送往急诊科。初步体检显示患者右肩部有表皮擦伤和广泛的皮下气肿,右前胸壁有一大约10×15 cm的连枷胸区域,并伴有呼吸困难。胸片显示右侧多根肋骨、锁骨和肩胛骨骨折,右侧液气胸以及广泛的皮下气肿(►图1和图2)。

图1. 患者置入胸腔引流管后的胸片。

图2. 患者胸部CT扫描。
因此,向患者胸腔内置入32号胸腔管进行胸腔引流,并将其送至重症监护室进行后续治疗。患者在72小时后因呼吸衰竭进行气管插管,尽管引流管已无液体和气体排出,但由于第14天仍需机械通气,计划对其进行外科稳定手术。右侧高位后外侧开胸切口显示第2至第7根肋骨骨折,其中部分为压迫胸腔的粉碎性骨折。对所有骨折线均进行去骨膜处理,胸壁稳定手术使用钛重建板和螺钉完成(Biomet Microfixations, Jacksonville, Florida, United States)(►图3)。患者在术后第3天拔管,术后第8天一般情况良好,生命体征稳定,予以出院(共计22天)(►图4)。

图3. 钛重建板和螺钉稳定肋骨。

图4. 患者术后胸片。
评论
胸部损伤可能会导致严重的后果,例如造成胸腔内脏器损伤。连枷胸就是胸部创伤的严重后果之一。
钝性胸部创伤在交通事故中造成的创伤占70至80%。其他胸部损伤的原因包括自然伤害、运动伤害以及高处坠落。肋骨骨折占胸部外伤的35至40%,而连枷胸占比为10至15%。连枷胸表现为至少连续三根肋骨发生两处骨折,是由前胸或侧胸损伤、胸骨骨折以及多个肋软骨关节脱位引起的。在创伤评分系统中,连枷胸被认为是最严重的情况之一,如果伴有其他严重问题,死亡率可达40%。
连枷胸的运动是由胸壁反常活动引起的,表现为吸气时骨折部分向内压缩,呼气时向外移位。在连枷胸中,损伤区域与骨结构没有连接。胸骨连枷是由于双侧多根肋骨骨折或前部肋软骨连接处分离引起的不稳定性所致。矛盾运动伴或不伴气胸均可在连枷胸的一侧产生负压吸引,阻止同侧肺的扩张。因此,由于胸膜腔内压力梯度变化,导致上、下腔静脉弯曲,静脉回心血量减少,心输出量降低,进而可能出现低血压、晕厥甚至突发心跳骤停,这是连枷胸影响血流动力学的最重要的病理生理机制。
功能残气量随着矛盾运动引起的肺泡膨胀受限而下降,最终导致肺泡塌陷、肺不张、缺氧/低氧血症。由于肺泡功能障碍,未氧合血液被直接送往外周循环,被称为“动静脉分流”。挫伤部位的出血和水肿在24小时内扩散。
连枷胸患者可能会并发气胸、血胸、肺挫伤、肺炎以及肺不张等肺部并发症。大量血胸和肺挫伤是连枷胸患者早期死亡的潜在原因,而急性呼吸窘迫综合征(ARDS)通常是晚期死亡的原因。
连枷胸的经典治疗方案包括镇痛和呼吸支持。通过充分有效的镇痛、气管支气管清理以及早期活动可使患者住院时间显著缩短。
75%的连枷胸患者需要进行机械通气治疗。矛盾运动并非机械通气的唯一指征,患者在呼吸衰竭的情况下也应进行气管插管和机械通气。机械通气应持续到矛盾运动停止。
为了快速脱机并避免长时间插管造成的损伤,应尽可能在早期行气管切开术。气管切开术可减少死腔,使气管支气管分泌物容易吸出,从而改善了肺泡通气与灌注。
在肋骨骨折中,手术治疗的位置和时机尚未达成共识。然而,连枷胸是首要的潜在手术指征。手术的目的是抬高受压部分并固定和稳定缺损。文献中普遍接受的稳定指征包括:尽管经过积极药物治疗,仍无法控制的呼吸衰竭、覆盖胸壁前部和侧部的大面积连枷胸、未能终止通气治疗以及因任何其他指征进行开胸手术。早期手术稳定也适用于没有呼吸衰竭和严重肺挫伤的特定老年患者。建议在最初的36至48小时内进行手术干预。由于有并发肺疝的风险,即使患者不需要机械通气治疗,也建议对大于10×10 cm的矛盾运动区域进行手术探查和稳定。
对于内固定,可以使用环形钢丝、钢板、髓内固定、垂直桥接和克氏针。无论采用哪种技术,都应将骨折肋骨的末端进行刮除和复位,并且在骨折两侧至少用两枚螺丝以稳定骨折线。此外,必须清除骨折部位的坏死物质、骨、肌肉、皮肤和异物。
稳定三到四个连续骨折就足以确保连枷胸完全恢复,而并非一定要对所有肋骨进行钢板固定。不建议重建第一、二肋骨,以避免潜在的神经和血管损伤。由于在稳定过程中肋骨表面的神经血管结构会受到永久性损伤,术后可能会并发永久性的肋间疼痛。无论采用何种手术方式,都必须尽可能保护肋间神经血管束。患者接受手术稳定治疗后,对于机械通气的需求以及在重症监护病房的住院时间均呈下降趋势。
在由于严重肋骨骨折导致肺实质损伤且需要长时间机械通气的连枷胸病例中,可对患者胸壁进行手术稳定,手术使用的技术应由外科医生自行决定。
评价
本文主要讨论了创伤性连枷胸的治疗方法,特别是手术治疗的必要性和效果。作者详细描述了一例由胸部钝性创伤引起的连枷胸病例,该病例在接受肋骨固定和胸壁重建后临床状况明显改善。文章强调了在连枷胸病例中,严重的肋骨骨折需要长时间的机械通气,因此临床管理的主要目标是对伴有实质性损伤的胸壁进行外科稳定。此外,作者还讨论了连枷胸发生的病理生理机制、可能的并发症以及手术治疗的位置和时机等问题,为临床医生提供了关于连枷胸治疗的重要信息和指导策略。
本期中文解读
于皓月
/初稿
涂 治
/初审
范成铭
/校审
范成铭,博士
The Thoracic and Cardiovascular Surgeon 编委
中南大学湘雅二医院
外科学博士,药学博士后,副研究员,博士研究生导师,中南大学湘雅二医院心血管外科主治医师,中华志愿者协会中西医结合专家志愿者委员会心外科专业组常务委员,中国研究型医院学会心脏瓣膜病专业委员会青年委员,湖南省医学会胸心血管外科学专业委员会青年委员,美国阿拉巴马大学伯明翰分校生物医学工程学系国家公派联合培养博士,中南大学十佳大学生、中南大学湘雅二医院青年岗位能手、十佳青年、湖南省卫生健康高层次人才,中南大学“升华学者计划”优秀青年人才。美国胸外科协会(AATS) Evarts A. Graham Memorial Traveling Fellowship 2023年获得者(首位获得该奖项的国内心外科医生,每年仅资助一名心外科医师)。美国Samuel and Jean Frankel心血管中心Fellow。荷兰Catharina医院心胸外科Fellow,比利时Cliniques universitaires Saint-Luc医院心胸血管外科Fellow。主持国家自然科学基金2项、湖南省优秀青年科研基金、湖南省优秀博士后基金各1项,先后获省优秀博士研究生学位论文奖、湖南省医学科技一等奖2项,科技进步二等奖1项,医学十大临床创新技术奖1项。主要研究方向为缺血性心脏病的细胞相关治疗研究,以第一或通讯作者身份在国内外学术期刊发表学术论文30余篇,现担任SCI期刊:Journal of the Renin-Angiotensin-Aldosterone System主编、Clinical and Experimental Hypertension主编,Journal of Cardiothoracic Surgery、BMC Bioinformatics副主编,Clinical Case Reports高级主编,European Journal of Medical Research副主编及心脏病学栏目主编,BioMed Research International、PLoS ONE、PeerJ学术主编,BMC Medicine、Reviews in Cardiovascular Medicine、Thoracic and Cardiovascular Surgeon、BMC Cardiovascular Disorders等多本SCI杂志编委。
The Thoracic and Cardiovascular Surgeon Reports (TCS Reports) 为开放获取期刊,出版与胸部和心血管研究具有重要临床相关性的病例报告,特别强调手术介入措施。TCS Reports 欢迎麻醉、心脏病学、生理学和病理学等胸外科和重症监护领域的投稿。
目标与范围
交流有关心脏、血管和胸部手术治疗的特殊或异常病例
报告胸部、血管和心血管手术中治疗管理的临床新方法
记录可能表明对现有疾病病因与发病机制有的新的或替代性理解的特定临床发现
对发表在母刊The Thoracic and Cardiovascular Surgeon上的研究成果和综述进行补充
促进与胸心血管外科护理相关专业和子专业之间更广泛的信息交流
在TCS Reports上的所有投稿均经过严格的同行盲评。鼓励提交图像和视频等补充资料。
