#Thieme未来星计划荣誉推出神经外科专题,我们将与未来星计划的小伙伴们持续推荐解读与神经外科学相关的论文与研究,欢迎关注。同时,欢迎感兴趣的小伙伴加入我们。
本期推荐 & 解读 BY
亚东 | 首都医科大学
↓ 神经外科专题丨185
体位性头痛是低颅低的典型症状,表现为全头痛或者是枕颈额颞持续性的胀痛。一般情况下,主要特点是卧位时症状不明显,一旦坐起,站立及活动时头痛加剧,平卧或头低脚高位的时候,头痛可以减轻或消失,也可伴有其他症状(如头晕、嗜睡、颅神经麻痹),严重可导致小脑扁桃体疝甚至死亡。低颅压可能是自发性的,但也可能在手术干预后发生。与自发性低颅压这一诊断难题相比,脑部或脊柱手术后的低颅压诊断可能更加容易。但是,即使在手术操作后,低颅压的症状缺乏特异性,也可能难以发现,诊断可能会延迟。
Journal of Neurological Surgery Part A
Heiler et al.
中文内容仅供参考,一切以英文原文为准。
病例阐述
一名患有特发性脊柱侧弯的10岁女孩进行了前路手术松解、矫正,采用双棒系统进行融合。术后患者诉有持续性头痛,抬头时头痛加重。相关检查结果无法解释头痛原因。3年后患者再次进行脊柱后路侧凸矫正手术。在接下来的17年里,患者就诊于不同医疗机构,但均未解决头痛问题。由于持续性头痛,患者生活质量很差,在体育活动和直立运动中甚至更严重。2016年,患者就诊于此机构,无明显神经功能缺损,但头痛持续存在,在站立姿势和体力活动下均很明显。根据患者的症状初步考虑“低颅压”的诊断。由于头痛症状在首次手术后立即出现,考虑与前路手术有关。行椎管造影和计算机断层扫描(CT) 检查,发现20年前前路脊柱侧凸手术中放置的T5椎管内/髓内螺钉位置异常。而在X线片上,错位的螺钉未显影。螺钉错位可能与患者持续性头痛有关,螺钉错位导致低颅压的原因可能是前路手术螺钉取出和闭合时发生脑脊液瘘。患者再次行修复手术,术中暴露螺钉的头部,透明的液体从螺钉孔中流出。在T5取出两个螺钉。取出螺钉后,钉孔深处可见脊髓,脑脊液流出。使用松质骨和纤维蛋白胶封闭裂孔。术后患者头痛立即消失。在随后的5个月内,患者症状逐渐恢复,6个月后无低颅压症状。

图1:脊柱侧凸手术后的正位X线片。

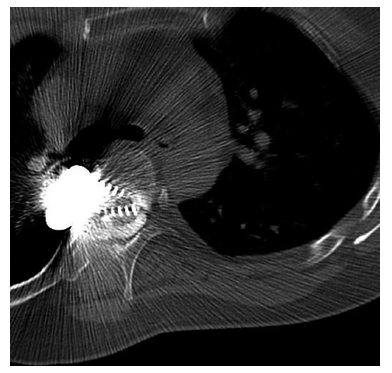
图2:20年前前路脊柱侧凸手术中放置的椎管内/髓内螺钉的胸椎椎管造影。

图3:取出鞘内/髓内螺钉后的钉孔,底部孔内可见穿孔的鞘囊。
讨论
一名年轻女性患者因胸椎鞘内螺钉错位导致低颅压20年来未得到明确诊断。这种并发症严重影响日常生活质量,尤其是延误诊断和治疗。
脑脊液丢失导致的低颅压并不少见。Li等发现的46例低颅压 (自发性18例,外伤后14例,医源性14例)患者多数诉鼻漏,误诊为鼻炎或鼻窦炎。所有患者均未出现明显头痛。Inamasu和Guiot基于1966—2005年统计的所有研究总结了低颅压患者的特点,主要症状为体位性头痛。低颅压常是医源性或自发性的。由于低颅压症状广泛且无明显特异性,低颅压的诊断可能具有挑战性。虽然头痛是最常见的症状,抬头时最明显,但并不是每个病例具有。但是,对于每个脊柱外科医生都应该了解,体位性头痛是低颅压的主要症状。在颅脑或脊柱手术后出现头痛的病例中,诊断可能会更容易。但是,此研究中的病例并不支持这一特点。虽然临床症状在手术干预后立即出现,但无论是术后即刻还是术后20年内,均未怀疑手术是导致严重头痛的原因。
在此研究机构在使用单螺钉/棒进行前路脊柱侧凸矫正手术30多年的经验中,尚未发现任何椎管螺钉错位。以下几个步骤可以避免这种并发症:
1-由经验丰富的(畸形)脊柱外科医生进行手术治疗;
2-椎体前外侧的准确识别;
3-将包括对侧在内的整个椎体周围游离,
4-使用指尖在触摸置入的螺钉,以定位螺钉尖端。
在此病例中,使用了前路双螺钉/双棒系统。对于儿童患者上段胸椎,在小椎体内安全放置两枚螺钉可能具有挑战性,特别是当螺钉轨迹由固定板预先确定时,椎体后壁可能穿孔,包括鞘囊撕裂。
在临床实践中,当脊柱手术后患者发生体位性头痛时,建议考虑低颅压所致的头痛,如果同时合并有沿脊髓的手术操作,则应考虑低颅压。脊柱前路侧凸手术后CT进行植入物定位通常不会在术后常规进行,尤其是在年轻患者和女性患者中。在假设低颅压的情况下,应考虑更积极的诊断步骤,通常包括磁共振成像(MRI)或椎管造影加椎管造影后CT。
应特别要求影像科医生进行断层扫描时确认是否有脑脊液漏的迹象。但如果未发现脑脊液流动的迹象,并不意味着没有硬膜撕裂或渗漏。在此患者的椎管造影中,未发现造影剂沿着植入的螺钉流动的迹象,但螺钉头部移除后就发现流出的脑脊液。因此,患者的病史和主诉是诊断低颅压头痛最有力的诊断线索。
总结
体位性头痛是低颅压的主要症状。对于儿童手术相关的脑脊液漏,手术后立即发生的体位性头痛是最有力的诊断线索。在术后体位性头痛的情况下,应考虑手术可能是硬膜撕裂/穿孔的原因,从而导致低颅压;一旦发现硬膜撕裂必须及早处理,以改善症状并保护患者免受相关并发症的影响。
Journal of Neurological Surgery (JNLS) 为同行评审期刊,发表原创研究、综述论文和涵盖神经外科各个方面的技术说明。JNLS的重点包括显微外科手术以及最新的微创技术,如立体定向引导手术、内窥镜检查和血管内手术。它分为两部分,交替出版。Part A涵盖纯粹的神经外科专题,Part B专门介绍颅底手术技术和方法。
JNLS目前是几个国家和国际神经外科和颅底学会的官方期刊。
JNLS Reports是Journal of Neurological Surgery的姊妹期刊,为开放获取神经外科和颅底病例报告期刊。
