#Thieme未来星计划荣誉推出神经外科专题,我们将与未来星计划的小伙伴们持续推荐解读与神经外科学相关的论文与研究,欢迎关注。同时,欢迎感兴趣的小伙伴加入我们。
本期推荐 & 解读 BY
亚东 | 首都医科大学
↓ 神经外科专题丨183
经典翼点入路开颅(pterional craniotomy, PC)是动脉瘤和颅底手术中常用的手术入路。但PC可能会导致美容和神经功能损伤,如面神经额支损伤导致眉下垂、颞肌萎缩、颞下颌关节疼痛等。筋膜间剥离术大大降低了面神经额支损伤的风险。目前各种方法已经被研究,以解决颞肌完全分离引起的肌肉萎缩和相关问题。此研究提出了改良PC开颅方式,是对经典翼点入路开颅术的改进。此技术应用于前循环动脉瘤手术患者。目的是比较改良开颅方式和经典PC开颅方式的手术结果,包括颞肌体积的变化和相关的美容结果,以及通过测量眉下垂结果评估面神经额支神经损伤的程度。
Journal of Neurological Surgery Part B
Seçer et al.
中文内容仅供参考,一切以英文原文为准。
改良PC开颅方式
患者均采用仰卧位,面朝对侧,根据动脉瘤位置旋转15-45°的角度,以颧突为最高点。从耳屏前方延半月型画线切开皮肤。将皮肤剥离至眶上缘并暴露与颞肌相关的脂肪组织。在眶外侧缘额颧缝线后方钝性切开颞肌,此处作为关键孔位置。从颞上线开始,沿开颅线向颧骨方向切开颞肌,在颞部钻孔。注意保持皮瓣在颞上线的连续性。首先,钻孔并使用铣刀铣开骨瓣。然后,沿着向颧骨方向剥离的颞肌暴露颞骨,向基底部离断骨质。使用磨钻将构成皮瓣基底的蝶骨大翼和颞骨磨薄。然后剥离硬脑膜,使用骨膜剥离子将硬脑膜与颞骨鳞部剥离。将掀开的骨瓣使用缝线悬吊。磨除蝶骨嵴,直到暴露脑膜眶部硬脑膜韧带。分离外侧裂并进行动脉瘤手术。

图1:(A)患者体位及皮肤切口。(B)前移皮瓣和颞部脂肪组织。颞肌切口平行于翼点和后部的皮肤切口。(C)颞肌切口、关键孔和颞部骨孔位置。(D)骨瓣。(E)切开硬脑膜。(F)骨瓣复位及颞肌筋膜闭合。

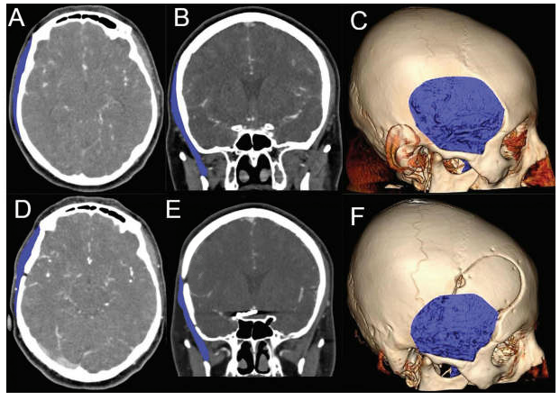
图2:患者因右侧大脑中动脉动脉瘤行改良翼点开颅手术影像资料。(A)术前轴位CT,(B)术前冠状位CT,(C)术前三维图像。(D)术后轴位CT, (E)术后冠状位CT, (F)通过三维CT图像测量右侧颞肌的体积(蓝色显示颞肌)。
讨论
虽然在本研究中所述的改良PC开颅技术中,颞肌萎缩明显减轻,但仍然导致一定程度的面神经额支损伤,尽管小于经典PC组。在前循环动脉瘤手术的PC中,过度操作和牵拉颞肌可能导致迟发性颞肌萎缩和瘢痕形成。这可能会导致面部不对称、颞下颌关节功能障碍、咀嚼疼痛以及面神经额支的损伤。由于这些原因,建议改良PC技术或更微创的开颅方法。尽管已经开发出许多替代的干预措施,但经典PC仍然是进入颅底和脑基底区的主要手术入路。颞肌底部的牵拉、压迫和屈曲可直接或间接影响颞深动脉,导致肌肉萎缩。目前的研究表明,与经典PC开颅术相比,使用改良PC开颅术时,颞肌萎缩显著减少。这可能是由于颞肌分离较少,骨瓣上的颞上线得以保留,从而保留了颞肌的生理张力和深层血管营养。Ezer等认为,在不切开颞肌的颅骨切除术中,保留滋养的血管系统和神经支配,同时维持肌筋膜和骨连接,是保护颞肌的重要手段。
据报道,颅骨成形开颅术增加了术后硬膜外血肿和感染的风险。Bass等在癫痫手术中放置颅内脑电图电极时比较了颅骨成形开颅术和骨瓣开颅术。在颅骨成形开颅术中,发现手术部位感染显著降低,症状性硬膜外血肿的发生率增加。在此研究中,硬膜外血肿发生在骨成形术组1例,在经典翼点开颅组2例。对合并硬膜外血肿的病例,通过清除血肿,对静脉和脑膜动脉分支进行止血。留置硬膜外引流可有效降低硬膜外血肿的发生率。在无感染的情况下,两组对头皮的丰富血供和对颞浅动脉及其分支的保护是有效的。
在额颞区手术入路中,保护面神经额颞支十分重要。这些分支的损伤可导致额肌、眼轮匝肌和皱眉肌麻痹。为了防止神经损伤,建议采用界面分离、肌皮瓣技术和肌下或筋膜下分离技术。改良PC组与经典PC组在面神经额支损伤方面无统计学差异。经典PC组神经损伤程度(28.6%)与既往报道相似,而改良PC组神经损伤程度(13.3%)不到经典PC组的一半。在改良PC基础上增加界面或筋膜下剥离可进一步降低神经损伤程度。
临床建议
与经典翼点开颅术相比,改良翼点颅骨成形开颅术显著减轻了颞肌萎缩,并减少了面神经额支的损伤,尽管后者结果并不显著。这些结果表明,与经典翼点开颅术相比,改良翼点颅骨成形开颅术在美容和功能方面可能更有优势。
Journal of Neurological Surgery (JNLS) 为同行评审期刊,发表原创研究、综述论文和涵盖神经外科各个方面的技术说明。JNLS的重点包括显微外科手术以及最新的微创技术,如立体定向引导手术、内窥镜检查和血管内手术。它分为两部分,交替出版。Part A涵盖纯粹的神经外科专题,Part B专门介绍颅底手术技术和方法。
JNLS目前是几个国家和国际神经外科和颅底学会的官方期刊。
JNLS Reports是Journal of Neurological Surgery的姊妹期刊,为开放获取神经外科和颅底病例报告期刊。
