心脏移植后慢性胸腔积液引起的肺坏死:病例报告
Jung et al.
**中文内容仅供参考,一切以英文原文为准。
充血性心力衰竭(CHF)患者通常会出现胸腔积液和腹水,这可能导致肺部被动塌陷。CHF患者胸腔液体形成的主要机制是液体从肺间质进入胸腔。对于CHF患者来说,胸腔液体的来源可能与心源性肝硬化伴腹水有关,也可能是由于液体通过膈肌运动进入胸腔,或者是由于室间隔的异常运动导致左心室舒张功能障碍。利尿剂,尤其是袢利尿剂,仍然是缓解症状和改善与液体负荷相关的病理生理状态(包括心力衰竭)的最有效药物。如果在使用适当的利尿剂后,患者症状(如呼吸困难、仰卧呼吸困难等)仍未缓解,则应考虑进行胸腔穿刺或腹腔穿刺。尽管这两种治疗方法能够迅速改善症状,但反复操作可能会引发感染和纤维蛋白形成等副作用。因此,应尽量避免对患者进行多次此类操作,尤其是在患者能够耐受的情况下。通常,这些问题在HT后会有所改善,经过清除积液和腹水后,塌陷的肺部会扩张至接近正常大小。然而,该患者在HT后,RLL依然处于塌陷状态。
病例描述
一位51岁的女性被诊断为严重的限制性心肌病,12年前首次出现临床症状。尽管接受了合适的药物治疗,她的症状仍然逐渐加重。由于反复出现的胸腔积液和腹水,她接受了利尿剂治疗,并进行了间歇性的胸腔穿刺和腹腔穿刺。在一次胸腔穿刺后,压缩的RLL得以扩张,但在随访期间,该部位又再次塌陷(见图1A)。考虑到反复操作可能引发感染和创伤,决定停止胸腔穿刺和腹腔穿刺,并在HT前给予连续3个月的静脉利尿剂治疗。
最终,该患者接受了HT,但其RLL仍然保持塌陷,并继续接受胸腔引流治疗。未能确定限制性心肌病的具体原因,病理检查结果显示仅有间质纤维化,而刚果红染色对淀粉样变性呈阴性。在重新进行CT检查(见图1B)后,通过后外侧胸小切口(15cm切口)进行了VATS下的RLL切除术。术中未发现积液,肺部无法放气,主要是由于存在囊性腔(见图2A)。除了RLL的坏死病灶外,未发现其他特定的病理学变化。此外,还发现了一个带有厚囊壁的大型腔性病变(见图2A-B),腔壁显示出弥漫性纤维化,伴有混合的含铁血黄素巨噬细胞,腔内充满了以中性粒细胞为主的炎症细胞,背景中有纤维素样物质(见图2C)。
在过去四年中,患者未出现任何并发症(见图1C),也没有呼吸困难、感染或运动受限的情况。

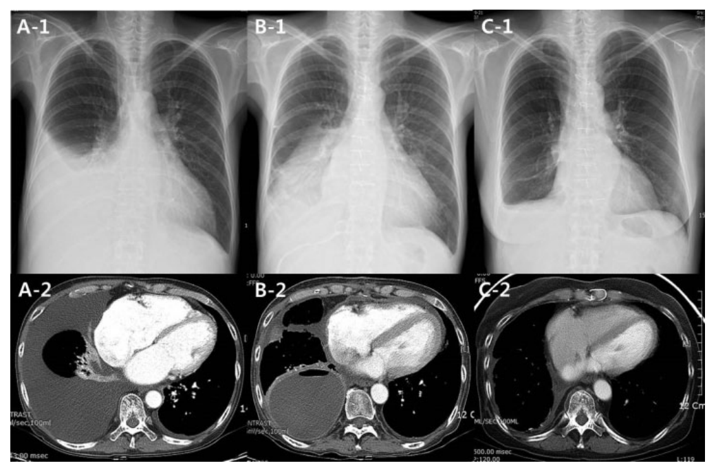
图1. 胸部X光片和计算机断层扫描。
(A) 在心脏移植前,两个影像显示右侧胸腔积液和RLL塌陷。 (B) 心脏移植后,RLL仍然塌陷(B-1)。在RLL中观察到一个大囊性病变(B-2)。 (C) RLL切除术后,所有病变消退,存在极少的胸膜积液。

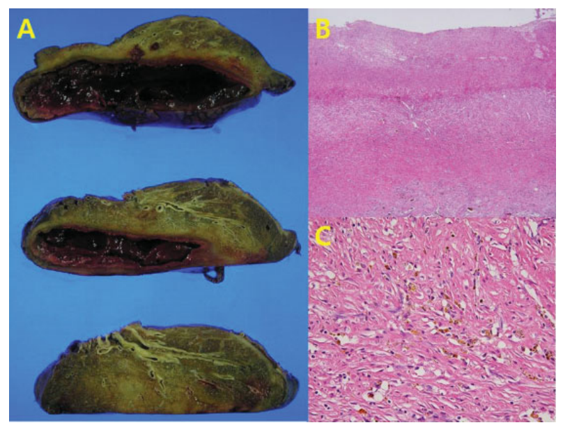
图2. (A) 大体检查显示一个界限相对清晰的囊性病变,内部充满半固态的出血物质。该囊性病变局限于肺实质内,并未涉及支气管系统。(B) 囊壁显示有纤维性包膜,包膜上覆盖着纤维素样物质,且没有任何上皮组织(苏木精-伊红染色 [H&E], x 40)。(C) 纤维性包膜由成纤维细胞和含有血铁素的巨噬细胞交织组成,提示为陈旧性出血(H&E, x 200)。
评论
对有临床液体超负荷证据的患者,建议使用利尿剂进行治疗,以恢复和维持正常的体液状态。这种情况通常表现为充血症状,例如端坐呼吸、水肿和呼吸急促,或充盈压升高的体征,如颈静脉扩张、外周水肿、搏动性肝肿大和湿啰音。在心力衰竭患者中,通常应选择速效利尿剂而不是噻嗪类利尿剂来恢复正常的液体状态。然而,如果在使用适当的利尿剂后症状仍未缓解,可能需要考虑进行胸腔穿刺或腹腔穿刺。尽管胸腔穿刺可以迅速缓解症状,但反复操作可能会引发感染、纤维蛋白形成、气胸等副作用。Chung等人报道,反复进行胸腔穿刺会导致胸腔液中血管内皮生长因子、促炎细胞因子(如白介素-1β、肿瘤坏死因子-α)以及纤溶酶原激活剂抑制剂的水平增加。这些变化会促进纤维蛋白的形成,并干扰积液的再吸收,最终可能导致纤维蛋白沉积和胸腔漏液的恢复受损。
该患者接受了多次胸腔穿刺治疗,但胸腔积液反复出现。因此,作者决定停止该操作,并在入院时给予了静脉多巴酚丁胺和速效利尿剂治疗。三个月后,她成功接受了HT。然而,RLL并未扩张,且持续产生超过150 mL/天的胸腔引流量。在后续的CT扫描中,作者发现RLL存在囊性病变(见图1C),并进行了VATS下的RLL切除术。
肺坏死的常见原因包括细菌性肺炎和肺结核,这两种情况均可能导致血管和支气管的阻塞。然而,在本病例中并未观察到血管或支气管阻塞的迹象,这使得病因的判断变得更加复杂。
在本病例中,肺坏死是由于机械压迫造成的,并没有伴随支气管或血管的阻塞以及感染。如果将来遇到类似的患者,可能会更加积极地考虑胸腔积液的情况,例如在手术前进行支气管镜检查,或在心脏移植期间打开胸膜以评估积液状况。
文献评价
本篇文章详细描述了一例心脏移植后由于慢性胸腔积液引起的肺坏死案例,具有一定的临床意义和启示。文章结构清晰,逻辑严谨,通过患者的病史、临床表现、影像学检查和手术过程等方面进行全面分析,为读者呈现了一个复杂病例的处理过程。心脏移植后并发症的管理是心脏外科领域的重要课题,该案例为临床实践提供了宝贵的参考。文章揭示了慢性胸腔积液可能导致的严重后果,提醒临床医生在类似情况下提高警惕。尽管案例分析详尽,但文章中对相关文献的引用不足,未能充分将该案例与已有研究进行对比,缺少背景文献支持其临床意义。同时作者未提及患者术后的随访情况,缺乏对长期预后和可能复发的讨论。总体而言,这篇案例报告为心脏移植后并发症的管理提供了有价值的见解,尽管在文献支持和讨论深度上可进一步加强,但仍对临床医生在类似情况下的决策提供了重要参考。
本期中文解读
郑子龙
/初稿
范成铭
/校审
范成铭,博士
The Thoracic and Cardiovascular Surgeon 编委
中南大学湘雅二医院
外科学博士,药学博士后,副研究员,博士研究生导师,中南大学湘雅二医院心血管外科主治医师,中华志愿者协会中西医结合专家志愿者委员会心外科专业组常务委员,中国研究型医院学会心脏瓣膜病专业委员会青年委员,湖南省医学会胸心血管外科学专业委员会青年委员,美国阿拉巴马大学伯明翰分校生物医学工程学系国家公派联合培养博士,中南大学十佳大学生、中南大学湘雅二医院青年岗位能手、十佳青年、湖南省卫生健康高层次人才,中南大学“升华学者计划”优秀青年人才。美国胸外科协会(AATS) Evarts A. Graham Memorial Traveling Fellowship 2023年获得者(首位获得该奖项的国内心外科医生,每年仅资助一名心外科医师)。美国Samuel and Jean Frankel心血管中心Fellow。荷兰Catharina医院心胸外科Fellow,比利时Cliniques universitaires Saint-Luc医院心胸血管外科Fellow。主持国家自然科学基金2项、湖南省优秀青年科研基金、湖南省优秀博士后基金各1项,先后获省优秀博士研究生学位论文奖、湖南省医学科技一等奖2项,科技进步二等奖1项,医学十大临床创新技术奖1项。主要研究方向为缺血性心脏病的细胞相关治疗研究,以第一或通讯作者身份在国内外学术期刊发表学术论文30余篇,现担任SCI期刊:Journal of the Renin-Angiotensin-Aldosterone System主编、Clinical and Experimental Hypertension主编,Journal of Cardiothoracic Surgery、BMC Bioinformatics副主编,Clinical Case Reports高级主编,European Journal of Medical Research副主编及心脏病学栏目主编,BioMed Research International、PLoS ONE、PeerJ学术主编,BMC Medicine、Reviews in Cardiovascular Medicine、Thoracic and Cardiovascular Surgeon、BMC Cardiovascular Disorders等多本SCI杂志编委。
The Thoracic and Cardiovascular Surgeon Reports (TCS Reports) 为开放获取期刊,出版与胸部和心血管研究具有重要临床相关性的病例报告,特别强调手术介入措施。TCS Reports 欢迎麻醉、心脏病学、生理学和病理学等胸外科和重症监护领域的投稿。
目标与范围
交流有关心脏、血管和胸部手术治疗的特殊或异常病例
报告胸部、血管和心血管手术中治疗管理的临床新方法
记录可能表明对现有疾病病因与发病机制有的新的或替代性理解的特定临床发现
对发表在母刊The Thoracic and Cardiovascular Surgeon上的研究成果和综述进行补充
促进与胸心血管外科护理相关专业和子专业之间更广泛的信息交流
在TCS Reports上的所有投稿均经过严格的同行盲评。鼓励提交图像和视频等补充资料。
