Benign Metastasizing Leiomyoma of the Lung with Spontaneous Pneumothorax
肺部良性转移性子宫平滑肌瘤伴自发性气胸
Okabe et al.
**中文内容仅供参考,一切以英文原文为准。
良性转移性平滑肌瘤(BML)是一种罕见的良性肿瘤,通常发生在曾接受剔除或全子宫肌瘤切除术的患者中。BML常表现为多个无症状的肺部病变,并且通常是在偶然检查中被诊断出来的。本文报告了一例与气胸相关的BML病例。
病例描述
一名47岁的女性因与月经周期相关的复发性气胸入院,怀疑为月经性气胸,术前胸部CT显示双肺存在多个肺结节和囊肿(见图1-2)。患者在12年前接受了剔除性子宫肌瘤切除术。18-氟脱氧葡萄糖正电子发射断层扫描结果显示,全身未见异常摄取。此外,肿瘤标志物检测显示癌胚抗原、鳞状细胞癌相关抗原和细胞角蛋白19片段均在正常范围内。基于这些发现,怀疑患者可能患有良性转移性平滑肌瘤(BML)、淋巴血管平滑肌瘤(LAM)或其他转移性肿瘤。因此,决定进行了胸腔镜活检,以便进一步的诊断和治疗。

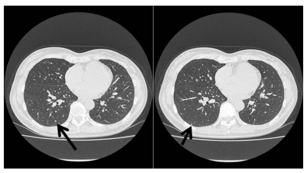
图1. 胸部CT显示多发界限清楚的结节,箭头表示活检切除的结节。

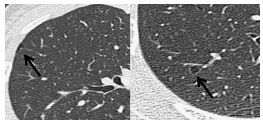
图2. 箭头表示术前胸部CT显示双肺囊肿。
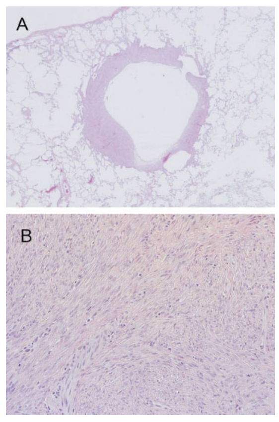
作者在胸腔内观察到少量胸腔积液,同时发现右肺中叶和下叶有暗红色病变,右肺上叶和中叶有两个大疱。此外,右膈肌上有一个黄色结节,右侧壁胸膜上有两个黄色结节,但未见孔洞或散在病变。总共切除了右肺中叶和下叶的四个结节和暗红色病变,右肺上叶和中叶的两个大疱,以及右膈膜和壁胸膜上的三个黄色结节。肺部结节为坚实的实质性肿块,切面呈白色(见图3)。胸腔积液中的糖类抗原125(CA 125)浓度升高(1,969 IU/mL),冷冻活检结果显示有梭形平滑肌细胞,这些细胞的核略大且核染色呈嗜酸性,胞质也呈嗜酸性。此外,还观察到气泡样扩张的囊性变化,囊壁上有梭形细胞增生(见图4)。肿瘤对α-平滑肌肌动蛋白、肌间线蛋白和雌激素受体呈阳性,但对LAM细胞标记物HMB-45和CD-10呈阴性。在膈肌和壁胸膜的黄色结节以及深红色病变中未发现子宫内膜组织、平滑肌瘤组织或恶性细胞。

图3. 肺楔形切除术显示界限清楚的白色结节。

图4. 冷冻活检结果显示:(A)气泡样扩张的囊性变化;(B)梭形细胞增生的细胞壁。
术后2周开始使用亮丙瑞林进行激素治疗,气胸在术后7个月内未复发。复查CT显示残留的多发性肺结节已减少或消失。
评论
BML肿瘤最早于1939年由Steiner提出,这是一种罕见的肿瘤,在文献中仅有不到200例报道。该肿瘤主要发生在盆腔、肺部和淋巴结,而在极少数情况下,也可能发生在椎骨或颅底。
BML指的是子宫肌瘤经血液转移到肺部的情况,而且育龄妇女患者通常有子宫肌瘤的病史。由于许多子宫肌瘤是通过切除来治疗的,这表明手术似乎会刺激其发生转移。
大多数BML病例预后良好,这取决于雌激素受体的表达程度,一些患者因肺转移导致呼吸功能不全而死亡。Tadashi等人报告了一例BML自然缩小的病例,提示更年期可能在其自然缩小中发挥作用。
目前还没有治疗BML的标准方案,但首选外科手术切除或激素治疗。在开始使用醋酸亮丙瑞林治疗后,随访11年内,患者总肺容量增加了10%(500 mL),用力肺活量增加了15%(300 mL),第一秒用力呼气量增加了14%(270 mL),一氧化碳弥散能力增加了4%。
在该患者身上观察到的子宫肌瘤细胞周围的囊性病变虽然罕见,但已有报告指出BML会以囊性病变的形式出现,其中有1%的BML患者会出现气胸。一种机制认为,囊性病变的形成是由于子宫肌瘤细胞逐渐在呼吸道中生长,导致弹性纤维破裂和气体滞留,从而形成囊性病变。在这位患者中,复发性气胸的机制表明,子宫肌瘤细胞在远端气道中充当了单向阀门,最终导致囊性病变的形成,并使这些囊肿破裂。
在本病例中,作者最初怀疑气胸是由子宫内膜异位症引起的,但对右肺脏层内多个深红色病变的病理检查未发现子宫内膜组织。尽管如此,气胸在月经期间的反复发生以及胸腔积液中CA 125水平的升高,使胸腔内子宫内膜异位症引起的月经性气胸仍不能完全排除。目前尚未确立经期性气胸的诊断标准。在经期性气胸的病例中,大约78%的患者可以观察到孔洞、蓝莓状斑点和膈肌损伤等病变,而在14%-39%的病例中则可见肺胸膜病变。然而,该患者并未表现出膈肌损伤或盆腔子宫内膜异位症,尽管胸腔积液中的CA 125水平异常升高,但这一现象也可能出现在良性疾病(如胸膜炎)中,因此对经期性气胸的诊断支持有限。
BML有生长的可能性,还需要对该病例进行定期随访。
文献评价
文章通过对一例47岁女性患者的病例分析,探讨了BML的诊断、治疗及其与气胸的关系,提供了对该病症的深入理解。文章较详细记录了患者的病史、症状、影像学检查结果及手术过程,使读者能够全面了解BML的临床表现及其诊疗过程,同时文中提到激素治疗后患者肺功能的改善,为BML的治疗提供了新的思路,提示激素在管理该病症中的潜在作用。除此以外,文中虽然提到术后症状改善,但缺乏对患者长期随访的详细数据,无法评估治疗的长期效果和复发风险。总体而言,该文为BML的研究提供了有价值的临床见解,但在样本规模和长期效果评估方面仍需进一步研究,以增强结论的可靠性和适用性。
本期中文解读
郑子龙
/初稿
范成铭
/校审
范成铭,博士
The Thoracic and Cardiovascular Surgeon 编委
中南大学湘雅二医院
外科学博士,药学博士后,副研究员,博士研究生导师,中南大学湘雅二医院心血管外科主治医师,中华志愿者协会中西医结合专家志愿者委员会心外科专业组常务委员,中国研究型医院学会心脏瓣膜病专业委员会青年委员,湖南省医学会胸心血管外科学专业委员会青年委员,美国阿拉巴马大学伯明翰分校生物医学工程学系国家公派联合培养博士,中南大学十佳大学生、中南大学湘雅二医院青年岗位能手、十佳青年、湖南省卫生健康高层次人才,中南大学“升华学者计划”优秀青年人才。美国胸外科协会(AATS) Evarts A. Graham Memorial Traveling Fellowship 2023年获得者(首位获得该奖项的国内心外科医生,每年仅资助一名心外科医师)。美国Samuel and Jean Frankel心血管中心Fellow。荷兰Catharina医院心胸外科Fellow,比利时Cliniques universitaires Saint-Luc医院心胸血管外科Fellow。主持国家自然科学基金2项、湖南省优秀青年科研基金、湖南省优秀博士后基金各1项,先后获省优秀博士研究生学位论文奖、湖南省医学科技一等奖2项,科技进步二等奖1项,医学十大临床创新技术奖1项。主要研究方向为缺血性心脏病的细胞相关治疗研究,以第一或通讯作者身份在国内外学术期刊发表学术论文30余篇,现担任SCI期刊:Journal of the Renin-Angiotensin-Aldosterone System主编、Clinical and Experimental Hypertension主编,Journal of Cardiothoracic Surgery、BMC Bioinformatics副主编,Clinical Case Reports高级主编,European Journal of Medical Research副主编及心脏病学栏目主编,BioMed Research International、PLoS ONE、PeerJ学术主编,BMC Medicine、Reviews in Cardiovascular Medicine、Thoracic and Cardiovascular Surgeon、BMC Cardiovascular Disorders等多本SCI杂志编委。
The Thoracic and Cardiovascular Surgeon Reports (TCS Reports) 为开放获取期刊,出版与胸部和心血管研究具有重要临床相关性的病例报告,特别强调手术介入措施。TCS Reports 欢迎麻醉、心脏病学、生理学和病理学等胸外科和重症监护领域的投稿。
目标与范围
交流有关心脏、血管和胸部手术治疗的特殊或异常病例
报告胸部、血管和心血管手术中治疗管理的临床新方法
记录可能表明对现有疾病病因与发病机制有的新的或替代性理解的特定临床发现
对发表在母刊The Thoracic and Cardiovascular Surgeon上的研究成果和综述进行补充
促进与胸心血管外科护理相关专业和子专业之间更广泛的信息交流
在TCS Reports上的所有投稿均经过严格的同行盲评。鼓励提交图像和视频等补充资料。
